HOME >> JVM NEWS 一覧 >> 個別記事
記事提供:動物医療発明研究会
インタビュアー・構成・執筆 伊藤 隆
動物医療発明研究会 広報部長/獣医師
前回は、酪農学園大学を卒業後、渡米して米国腫瘍内科専門医と米国放射線腫瘍科専門医を取得され、アイオワ州立大学(ISU)に勤務されていた村上景子先生へのインタビュー記事のうち、ISUロイド獣医医療センター ヒクソンリード小動物病院 腫瘍科の概要を紹介いたしました。
今回はその後編で、放射線治療に適した腫瘍の種類と獣医放射線治療の認知度について、エキゾチックアニマルの腫瘍の治療例、村上先生が腫瘍分野で今後取り組んで行きたい課題やテーマ、日米の獣医大学病院における放射線治療機器を紹介いたします。
(取材日:2025年2月10日)。
Q1.放射線治療に適した腫瘍の種類を教えてください。
最適な腫瘍はやはり犬の脳腫瘍です。次いで、犬・猫の鼻腔内腫瘍、犬の口腔内腫瘍、犬の膀胱・前立腺癌、切除困難な甲状腺癌や副腎腫瘍、または肺腫瘍、そして、肺への転移巣です。
私たち放射線腫瘍専門医は、誰も手を出せない(あるいは手を出したくない・出すべきではない)腫瘍を、ナイフを使わずに取り除くという、困難を極める任務を任されます。
外科でのアプローチが難しく、化学療法では腫瘍の縮小が不可能な腫瘍を、出血を見ることなく取り除くという作業はおそらく、我々放射線腫瘍専門医のみにできる匠の技でしょう。
私たちは言わば、がんを患ったペットと、そのご家族のために、最後の希望・チャンスにならなければなりません。初診時、絶望感で満たされた表情のご家族の涙が、放射線治療後、笑顔と喜びの涙に変わり、その姿を目にするのはこの上なく本望ですし、醍醐味以外の何物でもありません。
この素晴らしい機会をお借りして、ここで一つお話ししたいことですが、獣医放射線治療は残念ながら、その認知度が獣医業界内でも極めて低く、その効果や適応症例など、重要情報を伝えるのが非常に困難です。まして、ご家族の方へとなると、困難を極めます。
この問題はAmerican College of Veterinary Radiology(ACVR)年次学会のビジネス会議でも熱い討論会となりました。この問題の根本的な理由として、
- 獣医学部での教育カリキュラムの中に放射線治療の講義があまりに少ない、あるいは全くないこと
- 獣医大学での放射線治療機の普及がまだ完全ではないこと
- 獣医腫瘍内科専門医の間でも残念ながら最新の放射線治療の情報がアップデートされていないこと
などが挙げられました。
確かに、放射線生物学や放射線物理学という言葉に恐怖感や圧倒感を感じてしまう、という意見に反対するわけではありません。
しかし、その言葉だけに過剰反応を示す前に、一度でもよいので、放射線腫瘍専門医の臨床講義や放射線治療施設に足を運んで欲しいのです。その効果をその目で見ていただければ、その効果や安全性を必ず理解していただけるはずです。
腫瘍内科治療における医学と獣医学のギャップは計り知れないほど大きいです。
しかし、そのギャップは放射線治療においては、腫瘍内科に比べるとわずかです。テクノロジーや医療機器の進歩の速度は計り知れず、薬の開発速度に比べると光のような速度で日々進歩しています。
20年前に私たちが日常的に使用していた携帯電話と現在の「スマホ」と呼ばれる携帯電話を考えると、その事実は明らかです。
しかし、20年前に私が使用していた化学療法剤は現在も変わらず使用され続けています。古いものが悪い、と言っているのではありません。時代やテクノロジーの進歩とともに、ペットのがん治療も、この恐ろしいスピードで進歩するテクノロジーや技術を利用しない理由はありません。
ペットは動物だから、と言う前に、コロナの渦の中で、私たちのペットが人類の精神面を支え、救い続けてきたと思いませんか?コロナの真っ只中、なぜ、動物病院がとてつもなく忙しくなったかを考えてみてください。ペットは私たちの家族です。
今後、私を含め獣医放射線腫瘍専門医は全力で獣医放射線治療の有用性や安全性の情報を普及していく覚悟です。
Q2.エキゾチックアニマルの腫瘍の治療症例を紹介してください。
3歳のハムスターが腹腔内のリンパ腫とそれによる腹水貯留で来院し(写真1)、1Gyで全身放射線治療を行いました。
全身麻酔のリスクが高かったので、ハムスターをジップロックコンテナーに入れて全身放射線照射に至りました(写真2)。
Q3.腫瘍科に日本からのインターンやレジデントの方はいますか?
現在のところ、日本人からのインターンやレジデントはいません。
Q4.村上先生が今後、腫瘍分野で取り組んでいきたい課題/研究を教えてください。
犬・猫の悪性腫瘍の肺転移は、化学療法で治療されますが、肺転移巣を化学療法で縮小するのは現実的に非常に困難です。
例外はありますが、通常、胸部X線検査で肺転移が確認されたら、化学療法で約1~3ヵ月の生存期間と言わざるを得ません。このため、肺転移が確認された時点で治療を終了し、ホスピスに治療方針を変更する症例が多い現状です。
しかし、腫瘍科の放射線治療機は2~5ミリサイズの肺転移巣にもピンポイントの照射をすることが可能です。無数にある肺転移巣には不可能ですが、1~3個の肺転移病巣までなら照射が可能です。放射線治療の難しい所は数ミリサイズの腫瘍転移巣が患者の呼吸の度に動いてしまい、照射野外になってしまったり、正常な肺組織に放射線が当たってしまう、という問題があります。
この問題を改善するために、放射線治療中、麻酔下に人工呼吸器で動物の呼吸を管理し、放射線照射中のみ肺の動きをコントロールして臓器の動きを最小限にする、という私たち放射線腫瘍科専門医によるパイロット研究の論文が、2024年に獣医学術誌「Veterinary Radiology and Ultrasound」に掲載されました(Keiko Murakami, Nicholas Rancilio, Lisa Foster 「Feasibility assessment of inspiration breath-hold motion management for tumor tracking during cone-beam computed tomography for setup and radiotherapy in Veterinary Medicine: A pilot study」)。
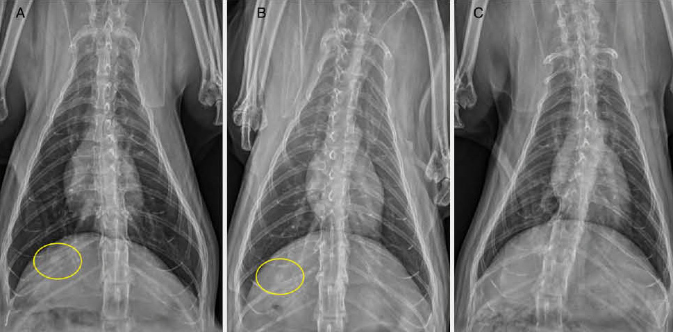
写真3はこのパイロット研究の猫の鼻腔内腺癌から肺転移がみられた症例のX線像です(論文から転用)。鼻腔内の腫瘍病変が放射線治療で部分寛解した後に肺転移が認められ、肺転移病巣に対して放射線治療を行い、直径約5mmの肺転移巣が縮小、そして消失しました。その過程、結果は胸部CT検査でも確認しました。
この方法を使い、今後は前向き研究で、治療困難を極めた肺転移を、放射線治療で安全に治療し、生存期間の延長に繋げられたらと思います。
Q5.何故、犬・猫の悪性腫瘍の肺転移巣を化学療法で縮小するのは困難なのでしょうか?
人においては化学療法による副作用を覚悟で高用量の化学療法薬を投与しますが、犬・猫の場合、ご家族の覚悟、理解と協力なしには達成できません。ですので、肺転移を化学療法のみで縮めるということはその副作用を考慮すると、事実上、困難と言わざるを得ません。
肺転移が確認された時点で、全ての治療を中止し、ホスピスを中心にした治療がご家族に選択される、と言うのが残念ながら現実です。
Q6.日本では日本獣医生命科学大学と北海道大学に新規リニアックである強度変調放射線治療(Intensity Modulated Radiation Therapy:IMRT)の機器が導入されていますが、これは米国の獣医大学病院でも既にあるのでしょうか?
日本獣医生命科学大学と北海道大学の放射線治療機器はElekta社のものです。Elekta社の放射線治療機器は米国でもワシントン州立大学などで使用されています。ISUはVarian社の放射線治療機器を導入しています。
とくにこれらのメーカーの機器に特別な機能の差があるわけではありません。それぞれの機器のグレードによって、機能に差がでます。
グレードが高い治療器であればあるほど、さらに精密で正確な患者のポジションが可能になり、そのため、より小さい(ミリ単位のサイズ)腫瘍にピンポイントの照射が可能になります。
Q7.アイオワ州立大学など米国の獣医大学での勤務を希望する学生や獣医師にメッセ―ジをお願いします。
北米での獣医療に従事するために必要な言語の壁は、とてつもなく厚いですし、不安はあると思います。それでも、とにかく行動してみることが大切で必須だと思います。
悩む前に行動すること。そして、誰にも気付かれないような努力をし続けること。妥協せず、完璧な仕事をし続け、結果を出し続けること。期待されたこと以上の結果を出すこと。常に学び続けること。そんなところでしょうか。言うのは簡単ですが、究極の忍耐力と、強靭な精神力が必要になります。
しかし、やりたい、と、本気で思っているのなら、それをどこかで見ていてチャンスを与えてくれる人はいるものです。
そんなチャンスを逃さず、ベストなタイミングで最高の結果を出すことで、夢に少し近づけるかもしれません。夢を叶えるということは、巨大な一枚の扉が目の前に存在することではなく、小さな扉が無数にあり、その扉に手を伸ばし続けることだと思います。実は私の好きな漫画から学んだ大切な言葉です!頑張ってください!Good Luck!
編集後記
2回にわたりISUの腫瘍科のことを中心に紹介いたしました。
後編は、放射線治療に適した腫瘍の種類と獣医放射線治療の認知度について、エキゾチックアニマルの腫瘍の治療例、村上先生が腫瘍分野で今後取り組んで行きたい課題やテーマ、日米の獣医大学病院における放射線治療機器について紹介いたしました。
特筆すべき点は2つありました。
1つ目は、外科でのアプローチが難しく、化学療法では腫瘍の縮小が不可能な腫瘍を、出血を見ることなく取り除くという作業が、村上景子先生などの放射線腫瘍専門医のみにできる匠の技だということです。また「放射線腫瘍専門医はがんを患ったペットと、そのご家族のために、最後の希望・チャンスにならなければならない」という言葉には感銘いたしました。
2つ目は、放射線治療の難しい所は数ミリサイズの腫瘍転移巣が患者の呼吸の度に動いてしまい、照射野外になってしまったり、正常な肺組織に放射線が当たってしまう、という問題があるということです。
この問題を改善するための、2024年に獣医学術誌「Veterinary Radiology and Ultrasound」に掲載された、放射線治療中、麻酔下に人工呼吸器で動物の呼吸を管理し、放射線照射中のみ肺の動きをコントロールして臓器の動きを最小限にするというパイロット研究は、人と異なり息を止めるということができないペットにおける新たな取り組みです。
今後、米国の獣医放射線腫瘍専門医により、獣医放射線治療の有用性や安全性の情報が普及され、その認知度が獣医業界内でアップすることを期待しております。
動物医療発明研究会は、会員を募集しています。入会を希望される方は、「動物医療発明研究会」まで。
シリーズ「国内外の各分野で活躍されている獣医師」
- (1)米国 五十嵐和恵先生
- (2)米国 五十嵐和恵先生
- (3)ゾエティス・ジャパン株式会社 鍵和田哲史先生
- (4)VMAT 関 一弥先生
- (5)エランコジャパン株式会社 福本一夫先生
- (6)ロンドン大学衛生熱帯医学大学院 篠崎夏歩先生
- (7)ベ-リンガーインゲルハイム アニマルヘルス ジャパン株式会社 大槻朋子先生
- (8)林兼産業株式会社 飼料事業部 アクアメディカル・ラボ 藤田幸辰先生
- (9)日本全薬工業株式会社(ZENOAQ) 加藤正浩先生、池 慧詩先生
- (10)エキゾチックアニマル診療 アンドレ動物病院 戸﨑和成先生
- (11)共立製薬株式会社 御手洗すみれ先生
- (12)メディカルイラストレーター LAIMAN社 代表取締役 永田徳子先生
- (13)エキゾチック動物診療 日本エキゾチック動物医療センター 三輪恭嗣先生
- (14)農林水産省 消費・安全局 畜水産安全管理課 水産安全室 国際水産防疫専門官 高橋延之先生
- (15)エキゾチック動物診療 田園調布動物病院 田向健一先生
- (16)ロイヤルカナン ジャポン合同会社 井上 舞先生
- (17)米国アイオワ州立大学 獣医学部腫瘍科 村上景子先生:前編


